Se llama diastema dental al espacio que aparece entre dos dientes. Aunque puede darse en cualquiera de las piezas dentales, suele ser más habitual en los incisivos superiores centrales, lo que conocemos como paletas.
Los diastemas son normales en la dentición infantil. Los dientes de leche van dejando los espacios necesarios para que, cuando erupcionen los dientes definitivos, estos encuentren suficiente espacio para ocupar su sitio de forma correcta. Sin embargo, si el espacio permanece, o incluso se acentúa, cuando ya se tiene la dentadura de adulto, es necesario acudir al especialista para encontrar la solución adecuada y, de este modo, evitar los problemas que puede acarrear.
El odontólogo o el ortodoncista puede detectar y diagnosticar con facilidad un diastema a través de una revisión convencional periódica. Para ello, podrá llevar a cabo una evaluación visual o pruebas complementarias, como radiografías, para analizar el tamaño y la posición de los dientes, así como de los huesos maxilofaciales.
¿Por qué aparece un diastema?
Las causas que originan su aparición son muchas y muy variadas. Algunas de las más frecuentes son:
- Falta de una pieza dental. Cuando se pierde una pieza dental, el resto de los dientes van a moverse para intentar ocupar ese hueco, de ahí que se produzcan espacios entre ellos.
- Maxilar grande. Contar con un maxilar de tamaño mayor al habitual va a provocar que las piezas dentales no lleguen a ocupar todo el ancho del hueso, lo que hará que se distribuyan produciendo espacios.
- Dientes más pequeños de lo habitual. Es lo que se conoce como microdoncia y su origen es genético.
- Frenillo labial superior más grueso. Cuando el frenillo superior crece de forma anómala, hace que se interponga entre los incisivos superiores, creando una separación entre ellos.
- Mala posición de las piezas dentales. Bastará con que un diente esté girado o en una posición desajustada para que se originen espacios.
- Malos hábitos durante la infancia. Existen algunos gestos durante la infancia que, si bien pueden parecer inofensivos, en algunos casos pueden llevar a la aparición de un diastema. Por ejemplo, chuparse el dedo o presionar los dientes con la lengua.
El hecho de observar un diastema durante la infancia, es decir, antes de cambiar los dientes de leche, no nos debe preocupar. En la mayoría de los casos, suele resolverse con la dentición definitiva.
Sin embargo, si el diastema aparece cuando todas las piezas dentales están en su sitio, está indicado valorar la necesidad de tratamiento de forma temprana, con el fin de evitar las posibles complicaciones que puedan aparecer.
¿Qué complicaciones puede provocar un diastema?
Algunos de los problemas que pueden provocar un diastema dental en la dentadura definitiva son los siguientes:
- Acumulación de placa bacteriana en los dientes, con el consiguiente riesgo de gingivitis y caries. Hasta que se resuelva esta situación, la higiene dental debe ser rigurosa.
- Problemas de mordida, ya que el diastema modifica la posición de los dientes.
- En los casos más graves, pueden alterar la fonética o la pronunciación.
- Cuando los espacios entre los dientes son generalizados, afectan muy notablemente a la estética de la sonrisa, pudiendo incluso afectar a la autoestima del paciente.
Hay una serie de tratamientos que puedes seguir para solucionar el diastema dental. Lo primero que debes hacer es acudir a tu ortodoncista para que valore la situación y te pueda ofrecer un diagnóstico preciso y un tratamiento adecuado.


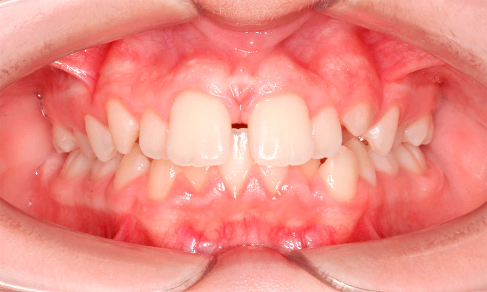
Diastemas por frenillo labial hipertrófico (el caso más común)

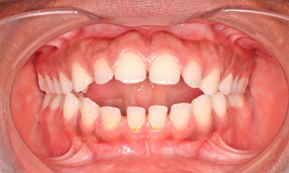
Diastema por disfunción lingual severa
¿Qué tratamientos se utilizan para corregir un diastema?
Entre los tratamientos más eficaces están la ortodoncia, la colocación de carillas y la realización de una frenectomía.
- Ortodoncia. Suele ser la opción más popular. Se puede utilizar ortodoncia fija, como los brackets, u ortodoncia invisible, como los alineadores. Cualquiera de estos métodos hará que los dientes se recoloquen hasta conseguir cerrar todos los espacios.
- Reconstrucción de los dientes con composites directos, o bien carillas de composite o porcelana. Las carillas son pequeñas láminas de porcelana o resina que se adhieren a los dientes para mejorar su aspecto. Esta solución de estética dental es muy sencilla y disimula con eficacia el hueco que provoca el diastema. Si el diastema es muy acusado o hay varios, puede ser necesario realizar un tratamiento de ortodoncia previo a la reconstrucción de los dientes.
- Frenectomía. Cuando el diastema ha sido provocado por un tamaño excesivo del frenillo, es necesario realizar esta sencilla intervención quirúrgica para reducir su grosor y mejorar su flexibilidad. De esta forma, se elimina la causa y se previene que el diastema vuelva a aparecer. No obstante, para cerrar el espacio existente, suele ser necesario un tratamiento adicional de ortodoncia o bien la reconstrucción de los dientes.
Cada caso es diferente y puede necesitar de uno solo de estos tratamientos, o de la combinación de varios de ellos. Un ortodoncista cualificado te orientará sobre las necesidades de tu caso particular.
¿Quieres mejorar la estética de tu sonrisa con nuestros tratamientos de ortodoncia?
La estética dental es fundamental no solo para mejorar la apariencia física de los pacientes, sino también para asegurar una buena salud bucodental. Problemas comunes, como los diastemas, pueden tener un impacto significativo en la funcionalidad de la mordida y en la higiene dental, además de afectar la autoestima. Afortunadamente, existen múltiples tratamientos, desde la ortodoncia hasta procedimientos quirúrgicos, que permiten abordar estos problemas de manera efectiva.
Ante cualquier problema de este tipo, no dudes en consultarnos. En Sampietro & Beltrán Ortodoncia contamos con un equipo de especialistas altamente capacitados que te ofrecerán un diagnóstico preciso y determinarán el tratamiento más adecuado para ti.